Исхакова Аделя Альбертовна
Казань
от
700
₽
-30%
Стаж 3 года
Документы проверены
Дарим скидку 300 ₽ за честный отзыв
Исхакова Аделя Альбертовна, Казань: детский стоматолог, 64 отзыва пациентов, места работы, стаж 3 года, запись на приём ☎ +7 843 500-43-81.
Обновлено 20.01.2026
Сообщить об ошибке
Видеовизитка

Языки общения
Профиль лечения
- 50%
- 20%
- 15%
- 15%
Образование
Казанский государственный медицинский университет
2022
Стоматология

Базовое образование
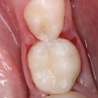
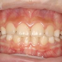
Фото до и после (3)









Цены на услуги (20)
Стоматология «Империал»
ул. Азата Аббасова, д. 10
Обновлено клиникой 31.01.26
Стоматология детская
Консультация
60 минут
900 ₽
Лечение кариеса молочного зуба материалом светового отверждения
60 минут
4 400 ₽
Лечение кариеса молочного зуба материалом химического отверждения
60 минут
3 100 ₽
Постоянное пломбирование осложненного молочного зуба световым материалом
60 минут
3 850 ₽
Покрытие фиссуры герметиком 1 зуб ( под ключ)
60 минут
2 750 ₽
Глубокое фторирование всех зубов
60 минут
1 100 ₽
Удаление молочного зуба
60 минут
1 300 ₽
Ампутация коронковой пульпы
60 минут
850 ₽
Инструментальная и медикаментозная обработка корневых каналов в молочном зубе
60 минут
850 ₽
Пломбирование корневых каналов в молочном зубе Metapex, МТА
60 минут
850 ₽
Пломбирование корневых каналов в молочном зубе пастой
60 минут
800 ₽
Фиксация роторасширителя Optra-Gate
60 минут
600 ₽
Использование коффердама
60 минут
700 ₽
Анестезия аппликационная
60 минут
400 ₽
Сложное удаление молочного зуба
60 минут
2 450 ₽
Лечение пульпита временного зуба (ампутация, без R)
60 минут
7 700 ₽
Лечение пульпита временного зуба (экстирпация, без R)
60 минут
8 300 ₽
Лечение пульпита постоянного зуба (ампутация)
60 минут
9 350 ₽
Профессиональная чистка зубов (Air-Flow, полировка, фторирование)
60 минут
3 200 ₽
Профессиональная чистка зубов (Ультразвук, Air-Flow, полировка, фторирование)
60 минут
4 200 ₽
Рейтинг
5.0
Обследование
Отлично
Эффективность лечения
Отлично
Отношение к пациенту
Отлично
Информирование
Отлично
Посоветуете ли врача?
Обязательно
Отзывы
Дарим скидку 300 ₽ за честный отзыв
Пациент +7 992 07XXXXX
20 января в 09:33
5.0
Отлично
Отзыв проверен
История пациента
Приходили на первый осмотр с дочкой 3 годика, доктор нам понравилась. Провела приём в игровой форме, смеялись, с зубками все хорошо. Теперь будет приходить каждые 3 месяца на осмотр. 
Понравилось
Аделя Альбертовна очень спокойная и добрая к деткам. Рекомендую.
Пациент +7 995 98XXXXX
13 января в 10:10
5.0
Отлично
Отзыв проверен
История пациента
Были сегодня в стоматологии​ «Империал» у детского стоматолога Исхаковой Адели Альбертовны. Приводила дочку, оказалось, что нужно удалять один зубик. Очень переживала, но врач сразу нашла подход к ребёнку, всё объясняла в игровой форме. Зуб удалили быстро, буквально минут за 15. Дочка даже не плакала. После приёма вышли довольные, ещё и с подарками. Спасибо большое за такой тёплый и аккуратный подход к детям!
Пациент +7 917 22XXXXX
6 января в 09:41
5.0
Отлично
Отзыв проверен
История пациента
Ходим к Аделе Альбертовне с дочкой и сыном на лечение. Дети с удовольствием посещают врача. Лечили и удаляли, все проходит без слёз. Моей дочери 12 лет, она очень боялась стоматологов, и мы не могли её уговорить на лечение ранее, зубы очень испортились, нужно лечить 7 зубов. Но Аделя Альбертовна нашла подход к дочери, и, к счастью, мы вылечили 3 зуба и продолжаем лечение.
Понравилось
Доктор замечательная.
Стоматология «Империал»
06 января 2026 в 18:18
Здравствуйте! Спасибо вам за прекрасный отзыв о работе нашего доктора Адели Альбертовны. Для нас очень важно знать, что наши пациенты довольны качеством обслуживания и отношением к себе со стороны наших специалистов.
Нам особенно приятно слышать, что ваша дочь, которая раньше боялась стоматологов, теперь посещает врача с удовольствием и проходит необходимое лечение. Это является лучшим доказательством того, что наш доктор обладает не только высоким уровнем профессионализма, но и прекрасными коммуникативными навыками, позволяющими находить общий язык с детьми и взрослыми.
Мы благодарны вам за доверие и выбор нашей клиники для лечения ваших детей. Будем рады видеть вас и вашу семью на дальнейших приемах и делать все возможное, чтобы каждое посещение проходило максимально комфортно и эффективно.
Нам особенно приятно слышать, что ваша дочь, которая раньше боялась стоматологов, теперь посещает врача с удовольствием и проходит необходимое лечение. Это является лучшим доказательством того, что наш доктор обладает не только высоким уровнем профессионализма, но и прекрасными коммуникативными навыками, позволяющими находить общий язык с детьми и взрослыми.
Мы благодарны вам за доверие и выбор нашей клиники для лечения ваших детей. Будем рады видеть вас и вашу семью на дальнейших приемах и делать все возможное, чтобы каждое посещение проходило максимально комфортно и эффективно.
Документы
2 изображения
Документы проверены
Диплом о медицинском образовании
Врач скрыл документ
Свидетельство об аккредитации
Врач скрыл документ
