Резанов Александр Владимирович Саратов

от 1000 ₽
Стаж 12 лет
Высшее медицинское образование
Документы проверены

Резанов Александр Владимирович, Саратов: стоматолог-ортопед, стоматолог, 68 отзывов пациентов, места работы, стаж 12 лет, запись на приём ☎ +7 961 651-42-99.

Обновлено 19.12.2025
Поблагодарить
Отзыв не единственный способ сказать врачу «Спасибо». Вы можете перевести деньги на личный счёт доктора.
Сообщить об ошибке

Медали

Премия ПроДокторов 2025 (3 место)
Премия ПроДокторов 2025 (3 место)
Премия ПроДокторов 2024 (1 место)
Премия ПроДокторов 2024 (1 место)
За изучение курса «Коммуникация в медицине»
За изучение курса «Коммуникация в медицине»

Доктор о себе

Стоматология сфера достаточно технологичная, поэтому на приеме я смогу составить для вас комплексный план лечения зубов в Саратове с цифровым планированием. Мои пациенты всегда могут быть уверены в том, что я детально отвечу на все вопросы на консультации и отговорю от манипуляций, если они не нужны.

Я работаю в стоматологии в Саратове с самым современным оснащением, передовым оборудованием, которое позволяет сделать виниры в Саратове с минимальным препарирование.

Видеовизитка

Видеовизитка

Языки общения

flag Русский

Опыт работы

«Доктор А»
2025 — н. в.
Стоматолог
Стоматология «Ника-Дент», г. Саратов
2024 — 2025
Стоматолог
«Дента Виас»
2023 — 2024
Стоматолог
«El Gravo»
2019 — 2023
Стоматолог
«Дентал Центр»
2016 — 2019
Стоматолог
«Моя Семья»
2016 — 2017
Стоматолог
«Арт Клиник»
2015 — 2016
Стоматолог
«Вива Дент»
2014 — 2015
Стоматолог

Образование

Саратовский государственный медицинский университет им. В.И. Разумовского
2013
Стоматология
Базовое образование
2014
Стоматология общей практики
Интернатура
2015
Стоматология терапевтическая
Повышение квалификации
Медицинский университет «Реавиз»
2016
Стоматология ортопедическая
Циклы переподготовки
2016
Стоматология терапевтическая
Циклы переподготовки
Академия медицинского образования
2020
Стоматология ортопедическая
Повышение квалификации

Повышение квалификации

2012
«Science4health Surgical dentistry»
2012
«Theoretical and Practical Course of Fulldent», Budapest
2013
«IX International Congress of VDW Endodontic Synergy»
2015
«Endodontic Synergy», VDW GmbH
2016
«Оказание экстренной помощи при неотложных состояниях в амбулаторной практики врача стоматолога»
2016
«Простая Эндодонтия», Михаил Элендо
2017
«X-Ray Day»
2020
«Востановление анатомической формы передней и боковой группы зубов в эстетической реставрации», А.В. Ветчинкин
2020
«Применение аппаратов миофункциональной коррекции»
2020
«Сплинт-Терапия», Пулат Кочкаров
2020
«Факторы выбора ортопедических конструкций», Гамид Насуев
2021
«Временное протезирование», Гиви Орджоникидзе
2021
«Последние достижения и традиционные методы в имплантологии и протезировании», Гиви Орджоникидзе, Гамид Насуев
2021
«Принципы работы с имплантационной системой Straumann», «Straumann»
2022
«Имплантология как искусство», «Mis Academy»
2022
«Применение 3D-печати в стоматологии»
2022
«Цифровая коммуникация, фото, эстетический анализ лица и дизайн улыбки, составление плана лечения»
2022
«III Aesthetics Global Conference»
2022
«Dental Expert Exocad»
2023
«Цифровой подход в ортопедической реабилитации пациентов Straumann»
2024
«Предсказуемый Результат. Последовательность использования цифровых протоколов в клинических и технических этапах навигационной хирургии», Straumann
2024
«Клинические Протоколы Диагностики и Лечения Дисфункции ВНЧС»
2024
«Искусство имплантации сложные случаи и практические вопросы», Anthogyr
2025
«Guided Biofilm Therapy (GBT)»
2025
«Имплантация без осложнений с применением системы Medentika IPS»

Медицинские ассоциации

Стоматологическая ассоциация России
Ассоциация молодых стоматологов (АМС)
International Team for Implantology

Статьи в журнале

2013
Использование молекулярных маркеров в обследовании пациентов с патологией пародонта
ВЕСТНИК САРАТОВСКОГО ГОСУДАРСТВЕННОГО ТЕХНИЧЕСКОГО УНИВЕРСИТЕТА Учредители: Саратовский государственный технический университет им. Гагарина Ю.А. ISSN: 1999-8341
2012
Возможность применения bana-теста для диагностики заболеваний пародонта
БЮЛЛЕТЕНЬ МЕДИЦИНСКИХ ИНТЕРНЕТ-КОНФЕРЕНЦИЙ Учредители: ООО "Наука и инновации" eISSN: 2224-6150

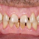
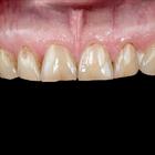
Фото до и после (2)

Пример работы до и после -
255 000 ₽
Пример работы до и после -
429 100 ₽

Цены на услуги (32)

Стоматология «Легенда»
ул. Мичурина, д. 45
Обновлено клиникой 16.04.26
Несъемное протезирование
Восстановление зуба коронкой временной прямым методом
60 минут
2 000 ₽
Восстановление зуба коронкой временной композитной фрезерованной лабораторным методом
60 минут
3 500 ₽
Восстановление зуба коронкой постоянной цельнометаллической или металлокерамической стандартной
60 минут
15 000 ₽
Восстановление зуба коронкой постоянной безметалловой из диоксида циркония стандартная эстетика (метод окрашивания)
60 минут
22 000 ₽
Восстановление зуба вкладкой, виниром, полукоронкой из материала Имакс или диоксид циркония с индивидуальной эстетикой
60 минут
35 000 ₽
Восстановление зуба коронкой с использованием цельнолитой культевой вкладки, облицованной керамикой Имакс
30 минут
9 000 ₽
Восстановление зуба коронкой, виниром постоянной безметалловой цельнокерамической диоксид циркония или Имакс (метод нанесения)
60 минут
27 000 ₽
Ортопедические услуги
Прием (осмотр, консультация) врача-стоматолога ортопеда (первичный )
30 минут
1 000 ₽
Прием (осмотр, консультация) врача-стоматолога ортопеда (повторный )
30 минут
500 ₽
Консультация и составление плана лечения
30 минут
3 000 ₽
Снятие несъемной ортопедической конструкции штампованной коронки (1 единица)
60 минут
1 000 ₽
Снятие несъемной ортопедической конструкции цельнолитой, металлокерамической коронки (1 единица)
30 минут
2 000 ₽
Снятие несъемной ортопедической конструкции сепарация промежуточной части мостовидной конструкции (1 единица)
60 минут
2 000 ₽
Прием(осмотр, консультация) врача-стоматолога ортопеда Резанова А.В. (первичный)
30 минут
1 000 ₽
Прицельная внутриротовая контактная рентгенография
Первичный снимок
15 минут
400 ₽
Повторный снимок
15 минут
200 ₽
Протезирование с опорой на имплантаты
Протезирование зуба с использованием имплантата Straumann, Anthogyr коронкой с винтовой фиксацией на титановом основании
30 минут
44 100 ₽
Протезирование зуба с использованием имплантата Medentika, Neodent коронкой с винтовой фиксацией на титановом основании
30 минут
40 000 ₽
Протезирование зуба с использованием имплантата коронка промежуточной части мостовидной конструкции диоксид циркония
30 минут
26 250 ₽
Протезирование зуба с использованием имплантата коронка промежуточной части мостовидной конструкции металлокерамика/металлокомпозитные коронки
30 минут
20 000 ₽
Протезирование зуба с использованием имплантата металлокерамическими коронками/металлокомпозитные коронки без учета стоимости супраструктур.
30 минут
30 000 ₽
Протезирование зуба с использованием имплантата коронкой из диоксида циркония/e.max (стандартная эстетика) без учета стоимости супраструктур.
30 минут
30 000 ₽
Протезирование зуба с использованием имплантата коронкой из диоксида циркония/e.max (индивидуальная эстетика) без учета стоимости супраструктур.
30 минут
55 000 ₽
Протезирование зубов с использованием имплантатов металлокерамическими коронками/металлокомпозитные коронки с опорой на мультиюниты на 4 имплантах 10-12 мест Straumann
60 минут
301 000 ₽
Протезирование зубов с использованием имплантата временной коронкой с винтовой фиксации Straumann
30 минут
27 300 ₽
Протезирование зуба с использованием имплантата временной коронкой с винтовой фиксации Anthogyr
30 минут
22 000 ₽
Протезирование зуба с использованием имплантата временной коронкой с винтовой фиксации Medentika
30 минут
14 000 ₽
Протезирование зуба с использованием имплантата коронка промежуточной части мостовидной конструкции временная
30 минут
7 000 ₽
Протезирование зубов с использованием имплантатов временными коронками с опорой на мультиюниты 6 импланта 12-14 мест основания Anthogyr/Medentica/MedentiBASE
30 минут
130 000 ₽
Рентгенография
Анализ КЛКТ
20 минут
1 000 ₽
КЛКТ зубных рядов (КЛКТ)
20 минут
3 000 ₽
Ортопантомограмма зубных рядов (ОПТГ)
20 минут
1 000 ₽

Рейтинг

5.0
Обследование Отлично
Эффективность лечения Отлично
Отношение к пациенту Отлично
Информирование Отлично
Посоветуете ли врача? Обязательно

Отзывы

Автор не подтвердил факты из отзыва документами, поэтому отзыв аннулирован. Восстановим, если получим подтверждение. Если вы автор, позвоните нам 8 (800) 600-30-28.
Приём был в сентябре  2025
Стоматология «Ника-Дент» на Вольской - ул. Вольская, д. 29, стр. 3
5.0 Отлично
Отзыв проверен
История пациента
Я давно мечтала о красивой ровной улыбке, и установка виниров стала для меня настоящим преображением. Сначала немного переживала, как всё пройдёт, но Резанов Александр Владимирович был очень внимателен, подробно объяснил каждый этап и помог подобрать идеальную форму и оттенок. Процедура прошла быстро и комфортно, без боли, а результат превзошёл все мои ожидания. Теперь я с удовольствием улыбаюсь, не стесняясь своих зубов. Виниры​ выглядят абсолютно естественно. Никто даже не догадывается, что это не мои родные зубы. Я очень благодарна Александру Владимировичу за профессионализм и чуткое отношение!
/
Стоматология «Ника-Дент» на Вольской
04 ноября 2025 в 17:40
Спасибо вам за такой теплый и вдохновляющий отзыв! Мы, команда клиники "Ника-Дент", искренне рады, что смогли воплотить вашу мечту о красивой и ровной улыбке в реальность. Ваша уверенность и радость после преображения – лучшая награда для нас.

Мы ценим, что вы отметили внимание и профессионализм Александра Владимировича Резанова. Он, как и все наши специалисты, стремится к тому, чтобы каждый пациент чувствовал себя комфортно и уверенно на протяжении всего процесса лечения. Подробное объяснение каждого этапа и помощь в выборе идеальной формы и оттенка – важная часть нашей работы, ведь мы понимаем, насколько важно для вас быть довольным результатом.

Мы гордимся тем, что процедура установки виниров прошла быстро, комфортно и безболезненно. Использование современных технологий и материалов, а также опыт наших врачей позволяют нам достигать высоких результатов и обеспечивать максимальный комфорт для пациентов.

Мы рады, что виниры выглядят абсолютно естественно и никто не догадывается, что это не ваши родные зубы. Для нас очень важно, чтобы результат выглядел гармонично и соответствовал вашим индивидуальным особенностям.

Еще раз благодарим вас за доверие и добрые слова! Мы всегда рады видеть вас в нашей клинике и готовы поддерживать красоту и здоровье вашей улыбки. Не забывайте о регулярных профилактических осмотрах, чтобы сохранить вашу новую улыбку на долгие годы!
Приём был в сентябре  2025
Стоматология «Ника-Дент» на Вольской - ул. Вольская, д. 29, стр. 3
5.0 Отлично
Отзыв проверен
История пациента
Сломала зуб, откололась от него одна стенка с внутренней стороны, пришла в стоматологию​ у дома, мне сказали, что надо его удалять. Поискав в интернете, нашла Резанова Александра Владимировича. Записалась сначала на консультацию. Врач посмотрел меня, сделал фото, показал, насколько сильно разрушен зуб, и дал направление на компьютерную томографию. Мы договорились, что я позвоню и он скажет, можно будет сделать или нет. В итоге я напряженно ждала этого момента, так как это мог бы быть первым зуб, который у меня удалили. В общем, Александр Владимирович посмотрел снимок и сказал, что можно восстановить, я была на седьмом небе от счастья. Восстановление заняло, надо сказать, немало времени и потребовало 3 визитов. Сначала зуб восстановил пломбой, а потом сделал коронку. Коронка, надо сказать, у меня тоже первая во рту, и я думала, что это только для бабулек. 😊 Но на самом деле я через неделю уже вообще не видела разницы между своим зубом и коронкой. Больно не было, неприятные ощущения были только после визита, когда пломбу ставили, но он меня об этом предупредил. Спасибо, что есть врачи, которые готовы побороться за зуб. Я не могу сказать, что мне это вышло недорого. Но у меня было дело не в деньгах, а в принципе, мне очень хотелось сохранить зуб. Спасибо большое, я про вас рассказала своей подруге, а она мне в ответ рассказала, что вас знает и лечилась у вас несколько лет назад. Саратов, одним словом, маленький город. 😉 Ещё раз спасибо, и я вам очень благодарна!
Понравилось
Всё понравилось, можно сказать, не было зуба, а теперь есть.
/
Стоматология «Ника-Дент» на Вольской
02 сентября 2025 в 16:56
Благодарим вас за ваш отзыв и за то, что поделились своим опытом. Мы искренне рады, что вам удалось избежать удаления зуба и что результат лечения оправдал ваши ожидания. Сохранение собственных зубов — это наша основная задача, и мы всегда стараемся сделать всё возможное, чтобы избежать удаления, если это позволяет ситуация.

Александр Владимирович действительно тщательно подходит к каждому случаю, и ваша история лишний раз подтверждает, что современные методы диагностики и лечения позволяют достичь отличных результатов даже в сложных ситуациях. Мы понимаем, что процесс восстановления зуба требует времени и усилий, но ваше терпение и доверие к врачу сыграли важную роль в успешном завершении лечения.

Особенно приятно слышать, что коронка стала для вас комфортной и естественной частью вашей улыбки. Современные технологии действительно позволяют достичь высокого уровня эстетики и функциональности, и мы рады, что это стало вашим приятным открытием.

Спасибо за рекомендацию и за то, что рассказали о нас своей подруге. Мы всегда стремимся к тому, чтобы наши пациенты чувствовали себя заботой и вниманием на каждом этапе лечения.

Желаем вам крепкого здоровья и красивой улыбки! Будем рады видеть вас снова, если возникнет необходимость.


С уважением,
"НИКА-ДЕНТ"
Приём был в июле  2025
Стоматология «Ника-Дент» на Вольской - ул. Вольская, д. 29, стр. 3

Мнение коллег

Рентгенолог Архипцов М. А. рекомендует как стоматолога (15.01.2024)

“Александр Владимирович уже несколько лет направляет ко мне пациентов на МРТ ВНЧС, за это время я вижу положительную динамику при дисфункции ВНЧС после проводимого лечения. Также консультировался Александра Владимировича в частном порядке- очень грамотный и внимательный специалист.”

Документы

3 изображения
Документы проверены
Логотип ПроДокторов
© 2011–2026 МедРокет ИНН 2311144947
Зарегистрировано Федеральной службой по надзору в сфере связи, информационных технологий и массовых коммуникаций (Роскомнадзор).
Регистрационный номер Эл № ФС 77 - 89293 от 01.04.2025 г. Учредитель — ООО «МЕДРОКЕТ» ОГРН 1122311003760. Адрес редакции: 350015, Краснодарский край, г. Краснодар, ул. Буденного, д. 182, офис 87.
Информация, представленная на сайте, не может быть использована для постановки диагноза, назначения лечения и не заменяет прием врача.
Выберите свой город в России