Бабаян Милена Кареновна
Ростов-на-Дону
Бесплатно
Стаж меньше года
Высшее медицинское образование
Документы проверены
Дарим скидку 300 ₽ за честный отзыв
Бабаян Милена Кареновна, Ростов-на-Дону: стоматолог, стоматолог-гигиенист, 2 отзыва пациентов, места работы, стаж меньше года, запись на приём ☎ +7 863 333-31-09.
Обновлено 16.04.2026
Сообщить об ошибке
Видеовизитка

Профиль лечения
Данные в профиле лечения не подтверждены реальной практикой врача.
Подробнее
- 33%
- 24%
- 16%
- 16%
- 8%
- 3%
Образование
Ростовский государственный медицинский университет
2025
Стоматология

Базовое образование
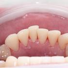
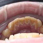
Фото до и после (7)














Цены на услуги (6)
Стоматология «Лейб медик»
ул. Красноармейская, д. 220А
Обновлено клиникой 16.04.26
Профессиональная гигиена
Комплекс профессиональной гигиены (ультразвук + AIR-FLOW)
60 минут
7 000 ₽
Комплекс профессиональной гигиены ПОД МИКРОСКОПОМ (ультразвук + AIR-FLOW)
60 минут
8 000 ₽
Повторное проведение профессиональной гигиены (ультразвук + AIR-FLOW) 1 раз в 6 месяцев
60 минут
6 000 ₽
Повторное проведение профессиональной гигиены ПОД МИКРОСКОПОМ (ультразвук + AIR-FLOW) 1 раз в 6 месяцев
60 минут
7 000 ₽
Повторное проведение профессиональной гигиены (ультразвук + AIR-FLOW) 1 раз в 3 месяца во время ортодонтического лечения
60 минут
5 000 ₽
Повторное проведение профессиональной гигиены (ультразвук + AIR-FLOW) 1 раз в 3 месяца во время ортодонтического лечения (Абонемент)
60 минут
4 500 ₽
Рейтинг
3.3
Обследование
Отлично
Эффективность лечения
Отлично
Отношение к пациенту
Отлично
Информирование
Отлично
Посоветуете ли врача?
Обязательно
Отзывы
Дарим скидку 300 ₽ за честный отзыв
Пациент +7 918 57XXXXX
16 апреля в 19:15
5.0
Отлично
Отзыв проверен
Стоматолог-гигиенист
История пациента
Я хочу выразить благодарность Бабаян Милене Кареновне за идеальную, безболезненную и профессиональную гигиену. С самого начала понравилось отношение врача. Встретила с улыбкой, все подробно объяснила. С Миленой Кареновной я поняла, что профессиональная гигиена может быть комфортной и даже приятной.
Понравилось
С первого приёма понравился чёткий и спокойный подход. Врач сразу обратил внимание на проблемные зоны, показала, где именно скапливается налёт, и объяснила, что можно улучшить в домашнем уходе. Процедура прошла быстро и аккуратно, без дискомфорта. Хожу регулярно, потому что вижу результат: десны в хорошем состоянии, налёт не накапливается. После приёма ощущение, действительно, качественно сделанной работы. Милена Кареновна - врач, который работает на результат. Для меня это главный критерий.
Пациент +7 904 88XXXXX
21 марта в 13:26
5.0
Отлично
Отзыв проверен
Стоматолог-гигиенист
История пациента
Делала профессиональную гигиену полости рта - осталась очень довольна результатом! Процедура прошла максимально комфортно. Бабаян Милена Кареновна всё подробно объяснила, работала аккуратно и внимательно. Никаких болезненных ощущений, всё прошло спокойно и без стресса. После процедуры дали рекомендации по уходу. Не могу налюбоваться своей улыбкой, обязательно вернусь!
Понравилось
Очень предусмотрительное отношение к пациенту.
Стоматология «Лейб медик»
23 марта 2026 в 11:51
Здравствуйте! Благодарим вас за отзыв и высокую оценку работы нашей клиники.
Мы рады, что профессиональная гигиена полости рта у стоматолога Бабаян Милены Кареновны прошла для вас максимально комфортно и вы остались довольны результатом. Спасибо, что отметили внимательное отношение, аккуратную работу врача и подробные рекомендации по уходу.
Желаем вам крепкого здоровья и будем рады видеть вас снова в клинике «Лейб Медик».
С уважением, команда «Лейб Медик».
Мы рады, что профессиональная гигиена полости рта у стоматолога Бабаян Милены Кареновны прошла для вас максимально комфортно и вы остались довольны результатом. Спасибо, что отметили внимательное отношение, аккуратную работу врача и подробные рекомендации по уходу.
Желаем вам крепкого здоровья и будем рады видеть вас снова в клинике «Лейб Медик».
С уважением, команда «Лейб Медик».


