Тищенко Ольга Александровна
Ростов-на-Дону
от
1500
₽
Стаж 23 года
Документы проверены
Дарим скидку 300 ₽ за честный отзыв
Тищенко Ольга Александровна, Ростов-на-Дону: стоматолог, 4 отзыва пациентов, места работы, стаж 23 года, запись на приём ☎ +7 905 426-00-97.
Обновлено 27.05.2025
Сообщить об ошибке

Реклама
Подробности об организаторе, условиях акции, сроках, о правилах проведения, месте и порядке получения на
сайте организатора
Видеовизитка

Языки общения
Профиль лечения
Данные в профиле лечения не подтверждены реальной практикой врача.
Подробнее
- 58%
- 15%
- 8%
- 8%
- 3%
- 3%
- 2%
- 1%
- 1%
- 1%
Опыт работы
ООО «Ай кью дент»
2021 — н. в.
Врач стоматолог
Центр стоматологии и косметологии ООО «Вид»
2014 — 2021
Врач стоматолог
Муниципальное бюджетное учреждение здравоохранения «Стоматологическая поликлиника №4 города Ростова-на-Дону»
2003 — 2014
Врач-стоматолог
Образование
Кубанский государственный медицинский университет
2002
Стоматология

Базовое образование
Кубанская медицинская академия
2003
Стоматология
Интернатура
Ростовский государственный медицинский университет
2015
Стоматология терапевтическая
Повышение квалификации
Ростовский государственный медицинский университет
2015
Стоматология терапевтическая
Циклы переподготовки
Повышение квалификации
2005
«Классическая эндодонтия», курс Михаила Соломонова
2007
«Новые методы лечения в эндодонтии», курс Михаила Соломонова
2007
Семинар «Особенности эстетико-функциональной реставрации жевательной группы зубов», Салова А. В.
2008
Семинар «Эндодонтия от А до Я. Рациональность-ключ к успеху», Овсепян А. П.
2009
Семинар «Как сделать эндодонтию быстрой и эффективной»
2009
Семинар «Необходимые мелочи для прямых реставраций»
2009
«Эндодонтия и ортопедия, междисциплинарный подход», курс Михаила Соломонова
2013
Научно-практический семинар «Введение в трехмерную радиодиагностику. 3D-диагностика основных патологических состояний зубочелюстной системы»
2013
Семинар «Успешное эндодонтическое лечение: клинические соображения, этапы, процедуры», Филиппо Сантарканжело
2014
«Современная концепция эндодонтического лечения»
2015
Семинар «Комплексный подход к прямой реставрации зубов»
2015
Семинар «Секреты успешной реставрации фронтальной группы зубов», Алиев Р. О.
2015
Семинар «Мир микроскопной стоматологии. Погружение в новую реальность». г. Москва
2015
Семинар «Новое в эндодонтии». Блохина А.Ю.
2015
Семинар и мастер-класс «Реставрация фронтальных и жевательных зубов по методике Набору Такахаши с использованием инновационного композита Эстелайт Астерия», Мендос Е. Ю.
2016
Семинар «Трехмерная радиодиагностика челюстно-лицевой области. Углубленный курс», Рогацкин Д.В., г. Ростов-на-Дону
2016
Семинар «Принципы нейромышечной стоматологии», г. Ростов-на-Дону
2016
«Планирование ортопедического лечения», Гаджи Дажаев, г. Ростов-на-Дону
2016
«Endo-Prosthodontic relationship», Dr. M. Solomonov, г. Краснодар
2016
«Современный междисциплинарных подход в стоматологической реабилитации пациентов с повышенной стираемостью зубов», Луганский В.А., Сумелиди А.П., г. Краснодар
2016
«Школа моделирования», Щербаков В.
2017
Семинар «Практический курс по композитному протоколу: совместная коррекция высоты прикуса и окклюзионной плоскости силами врача-ортодонта и стоматолога-терапевта», Блум С.А., г. Ростов-на-Дону
2018
«Простая эндодонтия», Елендо М.Б., г. Ростов-на-Дону
2018
«Ревизия системы корневого канала и прогноз эндодонтически леченного зуба», Мер И.Я., г. Ростов-на-Дону
2018
Мастер-класс «Прямая композитная реставрация передних зубов: просто о сложном», Крутиков Д. В., г. Ростов-на-Дону
2018
Прямая реставрация передних зубов: просто о сложном
2018
Риски стоматологической клиники: как подготовиться к проверкам и быть эффективными
2019
Алгоритмы адгезивных процессов
2019
Фотография в стоматологии
2019
Форум частных клиник: как стать лидером на рынке стоматологических услуг
2019
Третий международный стоматологический конгресс Dentsply sirona word СНГ 2019
2020
Искусство коммуникации и убеждения
2020
Сочетанные поражения пульпы и периодонта. Резорбции твёрдых тканей зуба
2021
Проверки клиник роспотребнадзором и росздравнадзором
2022
Сервис: профессиональная перезагрузка администратора клиники
2023
POSTERIOR искусство прямых реставраций
2023
ANTERIOR искусство прямых реставраций
Профессиональные награды
2018
Медаль "Отличник стоматологии"
Медицинские ассоциации
Стоматологическая ассоциация России
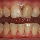
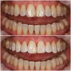
Фото до и после (2)



Цены на услуги (30)
Стоматология «Айкью дент»
пер. Элеваторный, д. 12
Обновлено клиникой 16.04.26
ТЕРАПИЯ (лечение под микроскопом)
Местное применение реминерализующих препаратов в области 1 зуба
60 минут
600 ₽
Прицельная радиовизиография
60 минут
600 ₽
Восстановление зуба .Наложение временной пломбы
60 минут
1 000 ₽
Восстановление зуба вкладками, виниром, полукоронкой из фотополимерного материала прямым методом.
60 минут
15 000 ₽
Закрытие перфорации стенки корневого канала зуба
60 минут
4 000 ₽
Аппликационная анестезия
60 минут
400 ₽
Проводниковая анестезия
60 минут
1 000 ₽
Ирригационная анестезия
60 минут
1 000 ₽
Прием (осмотр, консультация) врача-стоматолога-терапевта первичный
60 минут
1 500 ₽
Описание и интерпретация компьютерных томограмм
60 минут
600 ₽
Восстановление зуба пломбой с использованием материалов из фотополимеров при лечении кариеса больше ½ коронки зуба (включая использование системы Коффердам)
60 минут
13 000 ₽
Восстановление зуба пломбой с использованием материалов из фотополимеров при лечении осложнений кариеса (включая использование системы Коффердам)
60 минут
8 000 ₽
Восстановление зуба фиксация стекловолоконного штифта
60 минут
3 500 ₽
Восстановление зуба.Временная реставрация перед эндодонтическим лечением
60 минут
2 000 ₽
Пломбирование корневого канала зуба гуттаперчивыми штифтами с предварительной инструментальной и медикаментозной обработкой и использованием системы коффердам
60 минут
10 000 ₽
Пломбирование корневого канала зуба. Наложение препарата МТА для сохранения витальности пульпы зуба.
60 минут
2 000 ₽
Временное пломбирование лекарственным препаратом корневого канала с предварительной инструментальной и медикаментозной обработкой и использованием системы коффердам
60 минут
2 000 ₽
Повторное лечение корневого канала с пломбированием
60 минут
13 000 ₽
Лечение некариозных поражений (клиновидный дефект, эрозия эмали, гипоплазия)
60 минут
7 500 ₽
Извлечение из корневого канала: анкерного штифта, стекловолоконного штифта.
60 минут
3 000 ₽
Извлечение из корневого канала штифтовой культевой вкладки
60 минут
5 000 ₽
Извлечение из корневого канала обломка инструмента
60 минут
5 000 ₽
Диагностика состояния дна полости зуба и корневого канала (сошлифовывание твердых тканей зуба, постоянной пломбы для оценки состояния тканей дна полости зуба под микроскопом)
60 минут
5 000 ₽
Профессиональное отбеливание зубов (внутрикоронковое отбеливание) 1 зуб Опалессенс
60 минут
5 000 ₽
Добавочная карпула анестетика
60 минут
700 ₽
Прием (осмотр, консультация) врача-стоматолога-терапевта, включая индивидуальный стерильный пакет
60 минут
600 ₽
Резекция верхушки корня с ретроградным пломбированием (апикальная микрохирургия)
60 минут
40 000 ₽
Лечение поверхностного кариеса посредством импрегнации эмали с использованием препарата Icon
60 минут
6 000 ₽
Восстановление зуба пломбой с использованием материалов из фотополимеров при лечении кариеса до 1/3 коронки зуба (включая использование системы Коффердам)
60 минут
7 500 ₽
Восстановление зуба пломбой с использованием материалов из фотополимеров при лечении кариеса до ½ коронки зуба (включая использование системы Коффердам)
60 минут
10 000 ₽
Рейтинг
3.2
Обследование
Отлично
Эффективность лечения
Отлично
Отношение к пациенту
Отлично
Информирование
Отлично
Посоветуете ли врача?
Обязательно
Отзывы
Дарим скидку 300 ₽ за честный отзыв
Пациент +7 918 55XXXXX
27 мая 2025
в 19:21
5.0
Отлично
Отзыв проверен
История пациента
Проходил лечение по ортодонтическим показаниям. Я являюсь жертвой советской стоматологии​, всегда боялся лечить зубы, вследствие чего потерял часть зубов. Ольга Александровна победила мою фобию​ своим профессиональным мастерством и умением успокоить.
Понравилось
Качество лечения и эстетичность. Хорошее оборудование для всех видов работ. Чувствует пациента, всегда понятно объясняет, что будет лечить и как.
Стоматология «Айкью дент»
22 июля 2025 в 13:21
Спасибо большое за ваше доверие!
Пациент +7 999 99XXXXX
1 апреля 2025
в 11:26
5.0
Отлично
Отзыв проверен
История пациента
Обратилась в стоматологию​ "Айкью дент" по поводу исправления прикуса​. Помимо этого, стоял вопрос об удалении трех жевательных зубов и установки имплантов. Специалисты клиники предложили решение, благодаря которому ни одного импланта не потребуется. Ольга Александровна - просто волшебница с золотыми руками. Обнаружила причину воспаления зуба, перелечила каналы и спасла зуб. Первый раз проходила лечение под микроскопом: технологии космические.
От традиционного лечения отличается как небо и земля.
Огромное спасибо за профессионализм, человечный подход и грамотные решения! Надеюсь, общий план лечения завершится полным успехом! 
Понравилось
Технологичность, профессионализм, честность, человечность, приятная атмосфера.
Стоматология «Айкью дент»
03 апреля 2025 в 13:11
Здравствуйте! Спасибо, что написали отзыв. Мы обязательно покажем его доктору. Приятно, когда пациенты так тепло отзываются о докторе. Будем рады помочь вам при необходимости.
Пациент +7 904 50XXXXX
25 сентября 2020
в 18:22
5.0
Отлично
Отзыв проверен
История пациента
Рада, что попали на прием именно к Ольге Александровне. Я тщательно выбирала доктора и клинику, так как сыну-подростку требовалось обширное лечение зубов​. Вся работа была проведена четко по плану, сохранены нервы в зубках, проведено качественное и эстетическое лечение. Смело могу рекомендовать Ольгу Александровну, как грамотного специалиста высокого уровня. Спасибо!
Понравилось
Огромная благодарность Ольге Александровне за профессионализм, чуткое отношение и качественно проведённое лечение!
Гость
15 марта 2017
в 10:08
5.0
Отлично
Отзывы от неавторизованных пользователей не участвуют в рейтинге
История пациента
Два раза лечилась у Ольги Александровны, ни одного замечания ей не могу сделать, профессионал высокого уровня. Я всегда стараюсь вовремя обращаться к стоматологу, как только вижу, что есть проблемы, записываюсь к врачу. Мне очень понравилось, как Тищенко работает, поэтому вернулась к ней и во второй раз, да и в третий скорее всего пойду к ней же. Аккуратно лечит, без боли и неприятных ощущений, отношение тоже хорошее, так что я однозначно ее советую.
Популярные стоматологи
Стоматология «Династия-Скибинских» на Малиновского (ранее «Династия-С»)
ул. Малиновского, 68/1
от 1 500 ₽
Стоматология «Доктор Келлер» на Красноармейской
ул. Красноармейская, д. 134
Бесплатно
Стоматология «32 Друга» на Королёва
пр. Королёва, д. 23-А
от 500 ₽
Стоматология «Лейб медик»
ул. Красноармейская, д. 220А
Бесплатно
Стоматология «32 Друга» на Королёва
пр. Королёва, д. 23-А
от 500 ₽










