Сафиулина Анастасия Михайловна Ростов-на-Дону

Бесплатно
Стаж 5 лет
Документы проверены
Дарим скидку 300 ₽ за честный отзыв

Сафиулина Анастасия Михайловна, Ростов-на-Дону: стоматолог-ортодонт, детский ортодонт, стоматолог, 21 отзыв пациентов, места работы, стаж 5 лет, запись на приём ☎ +7 863 333-91-14.

Обновлено 06.04.2026
Сообщить об ошибке

Видеовизитка

Видеовизитка

Языки общения

flag Русский

Опыт работы

«Евродент+»
2023 — 2024
Врач-ортодонт
Стоматологическая клиника «Авторская улыбка»
2021 — 2024
Стоматолог-ортодонт

Образование

Ростовский государственный медицинский университет
2020
Стоматология
Базовое образование
2022
Ортодонтия
Ординатура

Повышение квалификации

2021
Семинар для врачей-ортодонтов «Изгибы на дугах. Важный навык доктора, даже в век цифровых технологий»
2021
«Миорелаксирующий сплинт: Основной инструмент функциональной реабилитации», Eurokappa
2022
Зимний ортобатл «Брекеты VS элайнеры»
2022
Вебинар «Исправление прикуса с помощью системы элайнеров Invisalign в рамках образовательной программы Invisalign»

Статьи в журнале

2020
Оценка осведомленности стоматологов о семиотике системных болезней челюстно-лицевой области с помощью новой шкалы и оценка ее валидности и надежности: кросс-секционное исследование
Клиническая Стоматология (ежеквартальный журнал для стоматологов - практиков)

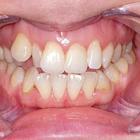
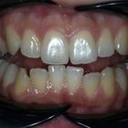
Фото до и после (3)

Пример работы до и после -
150 000 ₽
Пример работы до и после -
131 620 ₽
Пример работы до и после -
71 920 ₽

Цены на услуги (207)

Обновлено клиникой 16.04.26
Ортодонтия
Коррекция несъемного проволочного ретейнера
60 минут
3 390 ₽
Диагностический фотопротокол
60 минут
2 330 ₽
Повторный прием при лечении на съемном пластиночном аппарате, каппе
60 минут
1 560 ₽
Повторный прием при лечении на съемном каркасном аппарате
60 минут
1 760 ₽
Повторный прием при лечении на несъемных вспомогательных аппаратах
60 минут
1 670 ₽
Прием во время ретенционного периода
60 минут
1 040 ₽
Снятие брекет системы с 1 зубного ряда (техника 2х4) с установкой ретенционного аппарата
60 минут
6 730 ₽
Прием во время лечения окклюзионным аппаратом
60 минут
1 550 ₽
Прием 1 категории сложности (без бондинга и установки дуги)
60 минут
2 590 ₽
Компьютерное моделирование, прогнозирование результатов лечения
60 минут
10 350 ₽
Описание и инерпретация КТ
60 минут
1 280 ₽
Описание и инерпретация МРТ
60 минут
1 580 ₽
Цифровые оттиски (сканирование зубных рядов)
60 минут
5 690 ₽
Изготовление 1 контрольной или рабочей гипсовой модели
60 минут
2 590 ₽
Цифровые виртуальные 3D модели
60 минут
5 380 ₽
Цифровые пластиковые 3D модели
60 минут
8 490 ₽
Коррекция съемного ортодонтического аппарата
60 минут
580 ₽
Активация съемного ортодонтического аппарата
60 минут
580 ₽
Припасовка и наложение: двухчелюстной функционально-направляющий аппарат (Френкеля)
60 минут
56 350 ₽
Припасовка и наложение: аппарат Квад-Хеликс
60 минут
39 680 ₽
Припасовка и наложение: аппарат Би-Хеликс
60 минут
37 950 ₽
Припасовка и наложение: губной бампер, лицевая дуга
60 минут
20 700 ₽
Припасовка и наложение: позиционер (каппа) с перестановкой зубов простой клиническим методом
60 минут
18 630 ₽
Припасовка и наложение: позиционер (каппа) с перестановкой зубов простой лабораторным методом
60 минут
25 880 ₽
Припасовка и наложение: позиционер (каппа) с перестановкой зубов сложный клиническим методом
60 минут
25 880 ₽
Припасовка и наложение: позиционер (каппа) с перестановкой зубов сложный лабораторным методом
60 минут
31 050 ₽
Припасовка и наложение: каппа при бруксизме
60 минут
10 870 ₽
Ремонт одночелюстного аппарата простой (починка базиса)
60 минут
6 440 ₽
Ремонт одночелюстного аппарата с добавлением элемента(-ов)
60 минут
12 880 ₽
Ремонт одночелюстного аппарата с добавлением элемента(-ов) и перебазировкой
60 минут
18 630 ₽
Ремонт двухчелюстного аппарата с перебазировкой
60 минут
21 740 ₽
Ремонт двухчелюстного аппарата с перебазировкой и добавлением элемента(-ов)
60 минут
24 730 ₽
Фиксация на 1 зубной ряд: эстетическая брекет-система Damon Clear/Clear2 + металлическая Damon Q/Q2 (ORMCO, США) самолигирующая комбинированная
60 минут
96 370 ₽
Фиксация на 1 зубной ряд: эстетическая брекет-система Carriere SLX 3D Clear (Ortho Organizers, США) самолигирующая
60 минут
110 790 ₽
Фиксация на 1 зубной ряд: эстетическая брекет-система Carriere SLX 3D Clear + металлическая Carriere SLX 3D (Ortho Organizers, США) самолигирующая комбинированная
60 минут
82 630 ₽
Фиксация одного брекета на один зуб: Damon Clear/Clear2 (ORMCO, США)
60 минут
7 920 ₽
Фиксация одного брекета на один зуб: Carriere SLX 3D (Orthо Organizers, США)
60 минут
5 300 ₽
Фиксация одного брекета на один зуб: Carriere SLX 3D Clear (Orthо Organizers, США)
60 минут
7 220 ₽
Фиксация одного брекета на один зуб: ProMIM passive SLB (IMD, США)
60 минут
4 510 ₽
Фиксация одной кнопки, крючка, другого дополнительного элемента
60 минут
3 390 ₽
Фиксация одной щечной трубки: не конвертируемая
60 минут
4 720 ₽
Фиксация одной щечной трубки: конвертируемая самолигирующая
60 минут
7 800 ₽
Установка одной дополнительной назубной дуги
60 минут
4 550 ₽
Снятие брекет системы с 1го зубного ряда без установки ретенционного аппарата)
60 минут
7 510 ₽
Снятие брекет системы с 1 зубного ряда (техника 2х4)
60 минут
4 660 ₽
Коррекция несъемного ортодонтического аппарата
60 минут
580 ₽
Активация несъемного ортодонтического аппарата
60 минут
580 ₽
Снятие несъемного аппарата
60 минут
8 630 ₽
Ортодонтическая коррекция: лингвальный/небный бюгель (активируемый), фиксирован с помощью пайки
60 минут
20 700 ₽
Ортодонтическая коррекция: небный бюгель (активируемый)
60 минут
18 630 ₽
Проведение диагностики в артикуляторе - первичное
60 минут
26 910 ₽
Проведение диагностики в артикуляторе - повторное
60 минут
15 530 ₽
Ортодонтическая коррекция окклюзионным аппаратом СПЛИНТ
60 минут
41 400 ₽
Антропометрические исследования: прикусной шаблон для МРТ, сплинта
60 минут
3 110 ₽
Ортодонтическая коррекция окклюзионным аппаратом СПЛИНТ (повторное изготовление)
60 минут
15 530 ₽
Ортодонтическая коррекция окклюзионным аппаратом Aqua-splint или подобным
60 минут
36 230 ₽
Фиксация 1го металлического лигатурного брекета
60 минут
2 790 ₽
Фиксация 1го эстетического лигатурного брекета
60 минут
3 650 ₽
Фиксация 1го металлического безлигатурного брекета Damon Q металл
60 минут
4 140 ₽
Фиксация 1го эстетического безлигатурного брекета Damon Clear эстетика
60 минут
5 180 ₽
Фиксация 1-й неконвертируемой щечной трубки
60 минут
3 110 ₽
Фиксация 1-й конвертируемой самолигирующейся щечной трубки
60 минут
3 680 ₽
Фиксация ретейнера к 1-му зубу
60 минут
3 990 ₽
фиксация несьемного ретейнера на 1 зубной ряд (не более 6 зубов)
60 минут
18 480 ₽
Прием 2 категории сложности (без бондинга, установка 1 простой дуги, пружины)
60 минут
5 690 ₽
Прием 3 категории сложности (без бондинга, установка 1 сложной дуги)
60 минут
6 930 ₽
Прием 4 категории сложности (бондинг 1 дополнительного элемента, кроме брекета)
60 минут
7 560 ₽
Прием 5 категории сложности (бондинг 1 нового брекета или трубки)
60 минут
8 490 ₽
Фиксация ретейнера к одному зубу при его отклейке
60 минут
3 390 ₽
Активация 1-го ортодонтического минивинта (IZC, Buccal Shelf и подобные)
60 минут
9 200 ₽
Первичная консультация врача-ортодонта
60 минут
860 ₽
Динамическое наблюдение в неактивный период лечения
60 минут
1 040 ₽
Описание и инерпретация ТРГ головы
60 минут
2 850 ₽
Снятие оттиска альгинатом 1 челюсть
60 минут
1 140 ₽
Снятие оттиска силиконом (С-силикон) 1 челюсть
60 минут
1 550 ₽
Припасовка и наложение: одночелюстной съемный аппарат (простой)
60 минут
25 070 ₽
Припасовка и наложение: одночелюстной съемный аппарат (сложный)
60 минут
30 590 ₽
Припасовка и наложение: двухчелюстной функционально-действующий аппарат (Твин Блок, Андрезена-Хойпля, Кламта и подобные)
60 минут
47 840 ₽
Припасовка и наложение: стандартный функциональный аппарат простой (Готовые вестибулярные пластинки, "MUPPY")
60 минут
7 040 ₽
Припасовка и наложение: стандартный функциональный аппарат сложный(LM-активатор, аппарат Арсениной, Миобрейз, трейнер)
60 минут
31 630 ₽
Припасовка и наложение: лицевая маска (Деляре, Тубингера и т.д.)
60 минут
20 130 ₽
Плановое посещение при лечении I категории сложности с использованием брекет-системы
60 минут
6 300 ₽
Плановое посещение при лечении II категории сложности с использованием брекет-системы
60 минут
8 280 ₽
Плановое посещение при лечении III категории сложности с использованием брекет-системы
60 минут
8 800 ₽
Плановое посещение при лечении I категории сложности с использованием брекет-системы (техника 2х4)
60 минут
4 360 ₽
Плановое посещение при лечении II категории сложности с использованием брекет-системы (техника 2х4)
60 минут
4 970 ₽
Плановое посещение при лечении III категории сложности с использованием брекет-системы (техника 2х4)
60 минут
5 690 ₽
Фиксация на 1 зубной ряд: металлическая брекет-система Damon Q/Q2 (ORMCO, США) самолигирующая
60 минут
98 920 ₽
Фиксация на 1 зубной ряд: эстетическая брекет-система Damon Clear/Clear2 (ORMCO, США) самолигирующая
60 минут
116 380 ₽
Фиксация на 1 зубной ряд: металлическая брекет-система Carriere SLX 3D (Ortho Organizers, США) самолигирующая
60 минут
81 470 ₽
Фиксация на 1 зубной ряд: металлическая брекет-система ProMIM passive SLB (IMD, США) самолигирующая
60 минут
72 740 ₽
Фиксация на 1 зубной ряд: металлическая брекет-система Damon Q/Q2 (ORMCO, США) самолигирующая (техника 2х4)
60 минут
39 380 ₽
Фиксация на 1 зубной ряд: эстетическая брекет-система Damon Clear/Clear2 (ORMCO, США) самолигирующая (техника 2х4)
60 минут
36 740 ₽
Фиксация на 1 зубной ряд: металлическая брекет-система Carriere SLX 3D (Orthо Organizers, США) самолигирующая (техника 2х4)
60 минут
47 940 ₽
Фиксация на 1 зубной ряд: эстетическая брекет-система Carriere SLX 3D Clear (Orthо Organizers, США) самолигирующая (техника 2х4)
60 минут
53 610 ₽
Фиксация на 1 зубной ряд: металлическая брекет-система ProMIM passive SLB (IMD, США) самолигирующая (техника 2х4)
60 минут
21 070 ₽
Фиксация одного брекета на один зуб: Damon Q/Q2 (ORMCO, США)
60 минут
6 040 ₽
Снятие брекет системы с 1 зубного ряда с установкой 1 ретенционного аппарата (несъемного)
60 минут
14 490 ₽
Фиксация ретейнера на один зубной ряд (несъемного)
60 минут
8 350 ₽
Снятие одного ретейнера
60 минут
5 380 ₽
Припасовка и наложение: ретенционная каппа
60 минут
7 510 ₽
Припасовка и наложение: одночелюстной ретенционный аппарат
60 минут
17 600 ₽
Припасовка и наложение: двухчелюстной ретенционный аппарат
60 минут
22 770 ₽
Повторный прием при лечении с помощью только минивинтов
60 минут
5 490 ₽
Ортодонтическая коррекция: несъемным корректором II класса клинического изготовления (Power Scope 2 и подобные) левый или правый
60 минут
32 090 ₽
Ортодонтическая коррекция: несъемным корректоом II класса лабораторного изгогтовления (Gerbst и подобный) левый или правый
60 минут
66 700 ₽
Ортодонтическая коррекция: аппарат Pendullum/Pendex (дистализация моляров)
60 минут
27 550 ₽
Ортодонтическая коррекция: аппарат Дерихсвалейра с фиксацией по Макнамара
60 минут
46 580 ₽
Ортодонтическая коррекция: аппарат Дерихсвайлера на кольцах, с крючками для лицевой маски
60 минут
53 820 ₽
Ортодонтическая коррекция: аппарат для форсированого расширения нижней зубной дуги/Норда
60 минут
33 240 ₽
Ортодонтическая коррекция: ортодонтичское кольцо с удерживающей распоркой
60 минут
12 190 ₽
Ортодонтическая коррекция: межзубная распорка с 2мя индивидуальными ортодонтическими кольцами
60 минут
18 630 ₽
Припасовка и сдача окклюзионного аппарата СПЛИНТ
60 минут
43 650 ₽
Внеплановый прием врача-ортодонта
60 минут
1 040 ₽
Активация 1-го ортодонтического минивинта (межкорневой, небный и подобные)
60 минут
5 290 ₽
Припасовка на 1 зубной ряд: брекет-система металлическая DAMON Q/Q2 (Ormco, USA) самолигирующая
60 минут
36 230 ₽
Припасовка на 1 зубной ряд: брекет-система эстетическая DAMON Clear (Ormco, USA) самолигирующая
60 минут
49 910 ₽
Припасовка на 1 зубной ряд: брекет-система комбинированная DAMON Q/ Clear (Ormco, USA) самолигирующая
60 минут
43 640 ₽
Припасовка на 1 зубной ряд: брекет-система металлическая ProMIM passive SLB (IMD, USA) самолигирующая
60 минут
14 890 ₽
Припасовка на 1 зубной ряд: брекет-система эстетическая ProMIM passive Clear (IMD, USA) самолигирующая
60 минут
34 330 ₽
Припасовка на 1 зубной ряд: брекет-система комбинированная ProMIM passive SLB/Clear (IMD, USA) самолигирующая
60 минут
25 210 ₽
Припасовка на 1 зубной ряд: брекет-система металлическая DAMON Q/Q2 (Ormco, USA) самолигирующая частичная (техника 2х4)
60 минут
18 750 ₽
Припасовка на 1 зубной ряд: брекет-система эстетическая DAMON Clear (Ormco, USA) самолигирующая частичная (техника 2х4)
60 минут
27 080 ₽
Припасовка на 1 зубной ряд: брекет-система металлическая ProMIM passive SLB (IMD, USA) самолигирующая частичная (техника 2х4)
60 минут
9 140 ₽
Припасовка на 1 зубной ряд: брекет-система эстетическая ProMIM passive Clear (IMD, USA) самолигирующая частичная (техника 2х4)
60 минут
18 270 ₽
Изготовление 1 каппы для непрямой фиксации брекет-системы
60 минут
7 300 ₽
Фиксация на 1 зубной ряд: металлическая брекет-система
60 минут
44 340 ₽
Фиксация на 1 зубной ряд: эстетическая брекет-система
60 минут
54 030 ₽
Фиксация на 1 зубной ряд: комбинированная брекет-система
60 минут
47 440 ₽
Фиксация на 1 зубной ряд: металлическая брекет-система частичная (техника 2х4)
60 минут
22 870 ₽
Фиксация на 1 зубной ряд: эстетическая брекет-система частичная (техника 2х4)
60 минут
27 200 ₽
Плановое посещение I категории сложности
60 минут
6 540 ₽
Плановое посещение II категории сложности
60 минут
9 140 ₽
Плановое посещение III категории сложности
60 минут
12 630 ₽
Плановое посещение IV категории сложности
60 минут
14 890 ₽
Плановое посещение V категории сложности
60 минут
17 070 ₽
Снятие брекет-системы с одного зубного ряда с фиксацией 1 несъемного ретейнера
60 минут
20 640 ₽
Снятие брекет-системы с одного зубного ряда без фиксации ретейнера
60 минут
18 000 ₽
Снятие брекет-системы с одного зубного ряда: техника 2х4 с фиксацией 1 несъемного ретейнера
60 минут
12 600 ₽
Снятие брекет-системы с одного зубного ряда: техника 2х4 без фиксации ретейнера
60 минут
10 290 ₽
Припасовка и наложение: стандартный миофункциональный аппарат FroggyMouth и подобные
60 минут
27 830 ₽
Припасовка и наложение: стационарна я заслонка для языка и подобные аппараты
60 минут
23 000 ₽
Припасовка и наложение: одночелюстной съемный аппарат со сложным винтов (веерным, Бертони и др.)
60 минут
36 230 ₽
Ортодоническая коррекция: аппарат Haas, Marco Rosa с дополнительными элементами
60 минут
63 940 ₽
Проведение суставной диагностики (фотопротокол, оттиски, депрограммация, определение ЦС)
60 минут
23 000 ₽
Развернутая консультация ортодонта, планирование лечения по результатам проведенных обследований, составление плана лечения.
60 минут
6 380 ₽
Развернутая консультация ортодонта, планирование лечения по результатам проведенных обследований, составление плана лечения, презентация плана лечения.
60 минут
10 140 ₽
Развернутая консультация ортодонта, планирование лечения по результатам проведенных обследований, составление плана лечения, составление конструкции аппаратов.
60 минут
6 380 ₽
Развернутая консультация ортодонта, планирование лечения по результатам проведенных обследований, составление плана лечения, составление конструкции аппаратов, презентация плана лечения
60 минут
10 140 ₽
Ортодонтическая коррекция: расширяющий/удлиняющий аппарат с опорой на 2 минивинта
60 минут
125 350 ₽
Ортодонтическая коррекция: расширяющий/удлиняющий аппарат с опорой на 4 минивинта
60 минут
143 750 ₽
Срочное изготовление аппарата
60 минут
3 450 ₽
Осмотр полости рта с помощью дополнительных инструментов (использование ЛИЦЕВОГО СКАНЕРА для первичной диагностики стоматологических заболеваний и прогнозирования лечения)
60 минут
5 750 ₽
Ортодонтический набор (Воск, ортодонтическая зубная щетка, набор ершиков)
60 минут
1 500 ₽
диагностика первичная с использованием цифровых диагностических моделей
60 минут
32 780 ₽
Составление виртуального плана лечения (сетап)
60 минут
28 750 ₽
1 этап FlexiLigner
60 минут
253 000 ₽
2 этап FlexiLigner
60 минут
115 000 ₽
3 этап FlexiLigner
60 минут
115 000 ₽
Пробный элайнер
60 минут
9 960 ₽
Дополнительный элайнер
60 минут
12 190 ₽
Диагностика первичная с получением цифровых диагностических материалов
60 минут
29 330 ₽
Повторный прием при лечении на одной челюсти
60 минут
3 390 ₽
Повторный прием при лечение на двух челюстях
60 минут
4 540 ₽
Составление виртуального 3D плана лечения (Ortho-Check)
60 минут
28 750 ₽
Получение цифровых диагностических материалов
60 минут
7 820 ₽
Получение цифровых диагностических материалов от FlexiLigner (услуга доступна в Москве и Санкт-Петербурге)
60 минут
17 480 ₽
Получение аналоговых диагностических материалов
60 минут
9 090 ₽
Ортодонтическая коррекция элайнерами FlexiLigner (KIDS START, до 12 элайнеров, до 9 месяцев) на 1 челюсть
60 минут
138 000 ₽
Ортодонтическая коррекция элайнерами FlexiLigner (KIDS FOLLOW, до 32 элайнеров, до 19 месяцев) на 1 челюсть
60 минут
224 250 ₽
Дополнительная ортодонтическая коррекция элайнерами FlexiLigner сроком до 3-х месяцев (KIDS START) на 1 челюсть
60 минут
74 750 ₽
Дополнительная ортодонтическая коррекция элайнерами FlexiLigner сроком до 6-ти месяцев (KIDS START, KIDS FOLLOW) на 1 челюсть
60 минут
113 850 ₽
Ретенционная каппа после лечения на элайнерах
60 минут
15 710 ₽
Пробный эллайнер
60 минут
14 200 ₽
Дополнительный эллайнер
60 минут
12 590 ₽
Нанесение изображения на элайнер (черный цвет, на одном элайнере на одном зубе)
60 минут
1 440 ₽
Нанесение изображения на элайнер (цветное, на одном элайнере на одном зубе)
60 минут
2 170 ₽
FlexiBox набор для пациента
60 минут
10 350 ₽
FlexiVibe аппарат
60 минут
36 800 ₽
Chuvis хомячок
60 минут
680 ₽
Элайнер-матрица (дополнительный)
60 минут
10 350 ₽
Сопоставление Ortho-Check с КТ (для категории кейсов Esthetic и Simple)
60 минут
51 750 ₽
Диагностика первичная для SPARK
60 минут
11 500 ₽
Составление виртуального плана лечения (сетап) SPARK
60 минут
34 500 ₽
Ортодонтическая коррекция элайнерами SPARK - 10 (до 10 пар элайнеров) (ORMCO, США)
60 минут
241 500 ₽
Ортодонтическая коррекция элайнерами SPARK - 20 (до 20 пар элайнеров) (ORMCO, США)
60 минут
368 000 ₽
Ортодонтическая коррекция элайнерами SPARK - 30 (до 30 пар элайнеров) (ORMCO, США)
60 минут
471 500 ₽
Ортодонтическая коррекция элайнерами SPARK - 40 (до 40 пар элайнеров) (ORMCO, США)
60 минут
494 500 ₽
Ортодонтическая коррекция элайнерами SPARK - 50 (до 50 пар элайнеров) (ORMCO, США)
60 минут
517 500 ₽
Ортодонтическая коррекция элайнерами SPARK - ADVANCED (от 50 пар элайнеров) (ORMCO, США)
60 минут
569 250 ₽
Последующая доработка элайнерами SPARK
60 минут
94 650 ₽
Фиксация одного ретейнера после лечения на элайнерах (съемного или несъемного) (1 зубной ряд) SPARK
60 минут
17 250 ₽
Ортодонтическая коррекция элайнерами FlexiLigner (Esthetic ONE, до 12 элайнеров)
60 минут
138 000 ₽
Ортодонтическая коррекция элайнерами FlexiLigner (Simple ONE, до 13-26 элайнеров)
60 минут
241 500 ₽
Ортодонтическая коррекция элайнерами FlexiLigner (Pro ONE, от 27 элайнеров)
60 минут
340 400 ₽
Ортодонтическая коррекция элайнерами FlexiLigner (Esthetic TWO, до 12 пар элайнеров)
60 минут
228 850 ₽
Ортодонтическая коррекция элайнерами FlexiLigner (Simple TWO, до 13-26 пар элайнеров)
60 минут
343 850 ₽
Ортодонтическая коррекция элайнерами FlexiLigner (Pro TWO, от 27 пар элайнеров)
60 минут
458 850 ₽
Ортодонтическая коррекция KidsStart до 9 месяцев, до 12 шагов (элайнеры KidsLigner)
60 минут
167 900 ₽
Ортодонтическая коррекция KidsFollow до 19 месяцев, до 32 шагов (элайнеры KidsLigner)
60 минут
266 800 ₽
Ортодонтическая коррекция KidsStart на 3 месяца, 1 раз (элайнеры KidsLigner)
60 минут
62 100 ₽
Ортодонтическая коррекция KidsFollow на 3 месяца, не ограниченно (элайнеры KidsLigner)
60 минут
63 250 ₽
Ортодонтическая коррекция KidsFollow на 6 месяцев, не ограниченно (элайнеры KidsLigner)
60 минут
121 900 ₽
Ортодонтическая коррекция (элайнеры KidsLigner) один дополнительный элайнер
60 минут
13 800 ₽
Ортодонтическая коррекция элайнерами SPARK Все включено (диагностика, сетап, лечение) ( ORMCO, США)
60 минут
448 500 ₽
Фиксация на 1 зубной ряд: металлическая брекет-система DAMON ULTIMA (ORMCO, США) самолигирующая
60 минут
117 950 ₽
Фиксация 1 брекета на 1 зуб: DAMON ULTIMA (ORMCO, США)
60 минут
6 980 ₽

Рейтинг

4.9
Обследование Отлично
Эффективность лечения Отлично
Отношение к пациенту Отлично
Информирование Отлично
Посоветуете ли врача? Обязательно

Отзывы

Дарим скидку 300 ₽ за честный отзыв
Отзыв родителя
5.0 Отлично
Отзыв проверен
Детский ортодонт
История пациента
Обратились врачу с дочерью 14 лет, неровный прикус и, соответственно, некоторые зубы растут неправильно. Врача порекомендовал стоматолог, у которого лечили другого нашего ребенка. Осмотр прошел идеально, врач сделал все необходимые манипуляции (снимки и др.). В дальнейшем все четко, очень подробно и понятно разъяснил. Объяснила все нюансы выравнивания зубов и как это правильно нужно сделать. Этого врача я обязательно порекомендую своим знакомым.
Понравилось
Все очень понравилось, четко, профессионально, понятно.
/
Стоматология «Лейб медик»
06 апреля 2026 в 15:28
Здравствуйте! Благодарим вас за отзыв и доверие к нашей клинике.
Мы рады, что консультация детского врача-ортодонта Сафиулиной Анастасии Михайловны по исправлению прикуса прошла для вас информативно и комфортно. Спасибо, что отметили подробные разъяснения, внимательный подход и профессионализм врача на этапе диагностики и планирования ортодонтического лечения.
Благодарим за рекомендации! Желаем вам успешного начала лечения и будем рады видеть вас в клинике «Лейб Медик».
С уважением, команда «Лейб Медик».
Приём был в апреле  2026
Стоматология «Лейб медик» - ул. Красноармейская, д. 220А
5.0 Отлично
Отзыв проверен
Стоматолог-ортодонт
История пациента
Я в первый раз была на приеме у Анастасии Михайловны. Нашла этого стоматолога-ортодонта через портал ПроДокторов. При выборе обратила внимание на то, что она является молодым специалистом, и решила обратиться к ней.
Понравилось
Могу сказать, что после посещения доктора Сафиулиной А.М. у меня остались только положительные впечатления! Врач располагает к себе и знает свое дело. Она провела консультацию и ответила на все вопросы, которые меня беспокоили. В процессе обследования я чувствовала себя комфортно. Анастасия Михайловна рассказала о дальнейших этапах лечения. Информацию она доносила в доступной форме. Обращусь к специалисту повторно, если вдруг потребуется. По моему мнению, данного ортодонта можно порекомендовать своим знакомым и другим пациентам при необходимости.
/
Стоматология «Доктор Келлер» на Красноармейской
20 марта 2026 в 13:20
Здравствуйте! Спасибо Вам огромное за такой тёплый, подробный и очень важный для нас отзыв! Нам особенно ценно, когда пациенты, пришедшие впервые, делятся своим опытом и впечатлениями. Мы искренне рады, что Вы решили обратиться к молодому специалисту и остались только с положительными впечатлениями. Анастасия Михайловна Сафиулина смогла расположить Вас к себе, провести комфортную консультацию, ответить на все вопросы и доступно рассказать о дальнейших этапах лечения. Это именно тот подход, который мы ценим в наших врачах. Обязательно передадим Ваши слова благодарности доктору. Ей будет очень приятно знать, что Вы так высоко цените её профессионализм и готовы рекомендовать знакомым. Спасибо за доверие к нашему специалисту и клинике на Красноармейской! Будем рады видеть Вас снова, если возникнет необходимость. Желаем Вам крепкого здоровья и красивой улыбки! С уважением, команда Доктора Келлера.
Приём был в марте  2026
Стоматология «Доктор Келлер» на Красноармейской - ул. Красноармейская, д. 134
5.0 Отлично
Отзыв проверен
Стоматолог-ортодонт
История пациента
Я была на приёме у Сафиуллиной Анастасии Михайловны впервые. Нашла данного специалиста в интернете и выбрала её случайным образом.
Понравилось
После приёма у меня остались приятные впечатления. Специалист пригласила без задержек; не помню, сколько она уделила времени, но, по ощущениям, было достаточно. В принципе, доктор всё хорошо объяснила в доступной форме. Кроме того, она использовала медицинские термины в речи, если нужно, расшифровывала их. В ходе визита Анастасия Михайловна рассказала о проблеме и о том, что с ней делать. Стоматолог-ортодонт предложила решение и дала рекомендации, в том числе общего характера. Также специалист ответила на все вопросы. С собой я ничего не брала; в дальнейшем могу обратиться к данному доктору снова. Посоветую Сафиуллину А.М. другим людям.
/
Стоматология «Доктор Келлер» на Красноармейской
04 февраля 2026 в 15:41
Здравствуйте! Большое спасибо за ваш такой подробный, вдумчивый и тёплый отзыв с высшей оценкой «Отлично»! Мы искренне рады, что ваш «случайный» выбор в интернете оказался настолько удачным и что первое знакомство с нашей клиникой и врачом-ортодонтом оставило у вас столь приятные впечатления. Особую благодарность мы обязательно передадим Анастасии Михайловне Сафиуллиной. Вы очень точно подметили её ключевые профессиональные качества: умение доступно объяснить проблему и пути её решения, терпеливо отвечать на все вопросы и давать не только узкоспециальные, но и общие рекомендации. Такой комплексный и понятный подход на консультации — это залог доверия пациента и уверенности в предстоящем лечении. Мы очень ценим вашу готовность рекомендовать Анастасию Михайловну другим и возможность обратиться к ней снова в будущем. Для нас это лучшая оценка работы специалиста. Спасибо за ваше доверие клинике «Доктор Келлер». Мы будем рады помочь вам, если вы решите продолжить ортодонтическое лечение, и сделаем всё, чтобы каждый ваш визит был таким же комфортным и информативным. Желаем вам здоровья и удачи в принятии решений! Будем рады видеть вас снова. С уважением, команда Доктора Келлера.
Приём был в феврале  2026
Стоматология «Доктор Келлер» на Красноармейской - ул. Красноармейская, д. 134

Документы

2 изображения
Документы проверены
Логотип ПроДокторов
© 2011–2026 МедРокет ИНН 2311144947
Зарегистрировано Федеральной службой по надзору в сфере связи, информационных технологий и массовых коммуникаций (Роскомнадзор).
Регистрационный номер Эл № ФС 77 - 89293 от 01.04.2025 г. Учредитель — ООО «МЕДРОКЕТ» ОГРН 1122311003760. Адрес редакции: 350015, Краснодарский край, г. Краснодар, ул. Буденного, д. 182, офис 87.
Информация, представленная на сайте, не может быть использована для постановки диагноза, назначения лечения и не заменяет прием врача.
Выберите свой город в России